弥漫性特发性骨肥厚(diffuse idiopathic skeletal hyperostosis, DISH)是一种常见疾病,它随着年龄增加而患病率增高。然而在中国却很多医生不了解它——哪怕是风湿专科的。当然,也不排除 DISH 在中国患病率相对欧美偏低的可能。来自美国医院人群的研究显示 ≥ 50 岁的男性患病率是 25%,女性是 15%。但来自韩国更高年龄段的患病率却仅有 9%。美国研究发现:印第安裔的发病率最高,非洲裔可能比白人偏低。综合多个研究,可以肯定 DISH 的患病率会随着年龄、种族、地理位置而有相当差异。很可惜的是,我们并没有中国的 DISH 流行病学调查数据。考虑到中国跟韩国人种族接近,有理由怀疑中国的 DISH 患病率偏低。但即便如此,韩国的 9% 的患病率也是常见疾病了。
我国于 1983 年李果珍医生首次报道了 DISH,但国内早期主要是骨科医生零星报道。因为 DISH 跟强直性脊柱炎具有相似性,这让风湿科医生逐渐关注到该病。但早年风湿科医生们认为 DISH 就是特殊类型的骨关节炎。例如,中国风湿病学开创者张乃铮教授于 1999 年在他编写的《临床风湿病学》的骨关节炎章节里就把 DISH 作为骨关节炎特殊类型介绍。不过在今天,风湿病学界普遍不再持此观点。但当年的「骨关节炎的特殊类型观」可能误导了不少人,让很多中国风湿科医生以为该病既然是特殊类型,那即发病率偏低,于是导致日常临床工作里易忽视而导致漏诊。
1. 症状特征
DISH 患者可能有颈部、胸椎、腰部和/或肢体疼痛。不同部位的症状特征有差异。
(1)脊柱:晨僵、疼痛、活动受限是最常见症状
有症状人群里超 80% 会报告脊柱晨僵,这点跟脊柱关节炎相似而容易带来误诊。脊柱疼痛主要发生在胸椎,40%-80% 患者报告有胸椎疼痛。由于骨赘形成,DISH 病人群的吞咽困难发生率增加,除此外也有报道声音嘶哑、喘鸣、吸入性肺炎、睡眠呼吸暂停、寰枢关节半脱位、胸廓出口综合征等等。超一半的病人会有脊柱活动受限症状。如果医生仔细体检,该症状发生率或许会更高。比较危险的是颈椎后纵韧带钙化可引起脊髓压迫症。从而导致因脊髓病而导致感觉或运动障碍,比如四肢轻瘫和四肢瘫痪。

图 1 A 所指是脊柱巨大骨赘,B 所指骨化的韧带
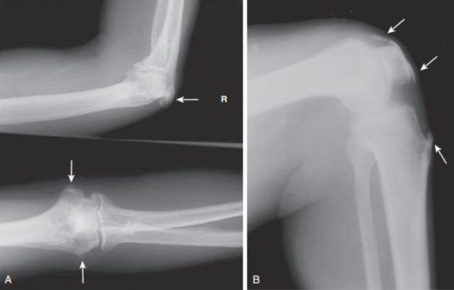
(2)非脊柱的其他部位:肩、肘和膝的症状较少见,报道发生于 15%-25% 的患者。主要是表现是肢体末端疼痛,包括大小关节、肌腱端。例如足跟、肩关节、髌骨和鹰嘴等部位的疼痛。

图 2 A 和 B 所示:髌骨周围、鹰嘴和肱骨上髁(箭头所指)骨化的肌腱端
2. 鉴别诊断与诊断
DISH 的核心要点是骨质过度增生、肌腱端的骨化和钙化。虽然很多疾病都具有新骨生成特征,例如骨关节炎、脊柱关节炎、肢端肥大症等等。由于发病机理的差异,导致了这些疾病虽都存在新骨生成特征,但却各自特征不一。
(1)DISH 跟骨关节炎的区分
骨关节炎的脊柱受累典型部位是颈椎下段、腰段。一般来说,骨关节炎较少累及胸段脊柱;即便累及胸段脊柱也会在骨关节炎的病程晚期。而 DISH 却最常累及脊柱胸段。脊柱骨关节炎通常会导致椎间盘间隙变窄,而 DISH 却不影响椎间盘高度。根据影像学和脊柱解剖分布差异,可以认为:骨关节炎一般首先损伤脊柱活动度大的部位——例如颈椎下段和腰椎。而胸椎恰恰是脊柱活动度最小部位——偏偏是 DISH 喜欢。骨关节炎的目标是椎间盘软骨、关节面软骨。
外周关节受累时,骨关节炎跟 DISH 的区别也很明显。DISH 常累及的是掌指关节、肘关节和肩关节。而且 DISH 带来更突出的肌腱端钙化/骨化。

图 3 圆圈所指可见明显骨质增生
(2)DISH 跟强直性脊柱炎

图 4 DISH 跟强直性脊柱炎鉴别点
DISH 跟强直性脊柱炎为代表的脊柱关节炎有很多相似之处。比如有脊柱晨僵、脊柱疼痛等。对于初入风湿科的医生来说很容易迷惑。但它们之间的区别其实也很明显。比如,DISH 是越高龄发病率越高,症状越明显。而脊柱关节炎在 40 岁后症状会逐渐减轻、甚至消失。

图 5 标准仅供参考
但必须提醒的是,该标准也仅仅是诊断的分类标准。当疾病初起也未必一定符合有 4 个椎体的病变等标准。当疾病排除了其他增生性骨病的可能性,即可考虑 DISH。

图 6 诊断永远是一个不断鉴别诊断的过程
3. 治疗
目前对 DISH 的病因还不够了解。普遍认为,肥胖、腰围增高、胰岛素抵抗和高胰岛素血症增加了 DISH 风险。DISH 跟糖尿病、血脂异常、高尿酸血症有紧密关系。DISH 跟代谢疾病的关系也预示患者更容易罹患冠状动脉疾病等。因此,治疗 DISH 不能着眼于症状控制。如何减少患者其他疾病高风险很重要。众所周知,非甾体消炎药是最常用止痛药,但 DISH 可是心脑血管疾病高风险人群。盲目全身用止痛药会使 DISH 患者的并发症、死亡风险显著增高!
就如上述,DISH 治疗不仅仅是对症缓解疼痛,更重要的是预防和减缓病情进展、预防和减少各种并发症,从而改善生活质量、提高预期寿命。

图 7 不能只是对症止痛治疗
参考资料:
1. Kelley and Firestein's Textbook of Rheumatology(第 10 版)
2. 张乃铮,《临床风湿病学》(1999 年)
3. Rheumatology(第 6 版)
